嘉義微創植牙推薦-民雄沐森美學牙醫診所|即拔即植+雷射減痛+臨時假牙

「原本以為這顆牙完了,沒想到拔牙、植牙、裝假牙竟然當天就完成,術後還幾乎不痛!」——患者真實回饋
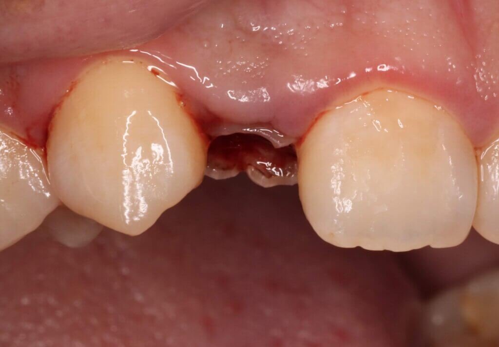
這是一位來自嘉義民雄的年輕患者,因為側門牙蛀蝕嚴重,已經蛀光只剩殘根,原本以為只能長時間戴牙套或等待好幾個月才能裝牙,沒想到在沐森美學牙醫評估後,條件良好可進行即拔即植,不但當天完成手術,還馬上裝上了自然臨時假牙,笑容一刻也沒中斷!
嘉義微創植牙案例重點整理:
1. 嚴重蛀牙僅剩殘根,但周圍顧頭牙肉條件仍完整


這位患者因長期忽略牙齒保養,導致前牙蛀蝕至齒根,只剩下殘留牙根。經由數位 X 光與臨床檢查後,我們發現:
- 齒槽骨高度仍足夠
- 牙齦條件健康,無嚴重牙周病
- 周圍無明顯感染或骨吸收
這樣的條件,是即拔即植的理想案例。
2. 當日拔牙、當日植牙:快速又安全
我們採用「即拔即植」技術,讓患者當天拔牙後,直接在原位植入人工植體,減少一次手術,縮短整體療程時間,保留更多自然骨質,提升成功率。

關鍵科技:雷射輔助清創+術後 LLLT
在拔除蛀牙殘根後,沐森使用美國 Biolase 二極體雷射進行組織清創,可更有效清除細菌與感染源,降低術後併發症。
此外,我們會在術後提供LLLT(低能量雷射照射),幫助:
✔️ 傷口癒合更快
✔️ 疼痛感與腫脹明顯減少
✔️ 降低術後感染與發炎風險
✔️ 恢復期更短、更舒服
這也是為什麼很多怕痛的嘉義患者,特別選擇沐森美學牙醫!
3. 當天裝臨時假牙,美觀不中斷

前牙區植牙最大的困擾之一,就是「會不會沒牙一段時間」。我們為這位患者當天客製臨時假牙,即使剛做完手術也能自然微笑、不尷尬。
臨時假牙依照牙型、牙色微調,與鄰牙協調自然,朋友都看不出是人工的!
4. 最終美學牙冠完成,自然與功能兼具

術後三個月,植體與骨整合穩定後,我們為患者安裝陶瓷美學牙冠,根據患者的牙齦線條、笑容曲線與膚色設計,打造出自然、牢固又漂亮的前牙。
醫師觀點|不是每個人都能即拔即植
即拔即植雖然方便又快速,但並非人人都適用。
在沐森,我們會詳細評估以下條件:
- 齒槽骨高度與密度是否足夠
- 有無急性發炎或感染
- 咬合狀況與鄰牙穩定性
- 牙齦與牙周健康情況
若評估不適合,我們絕不會貿然進行,而是按部就班,採取最穩定安全的治療方式,讓每一次植牙都能長久成功。
為什麼越來越多嘉義民雄人選擇沐森植牙?
🔹 引進美國 Biolase 二極體雷射,手術更精細、傷口更小
🔹 術後 LLLT 雷射照護,讓恢復期更短、疼痛感更少
🔹 可評估即拔即植,縮短時間、減少手術次數
🔹 臨時假牙立即提供,美觀不中斷
🔹 所有療程由經驗醫師親自操作+追蹤
📍 嘉義微創植牙推薦|民雄沐森美學牙醫診所
你也有蛀牙、缺牙、擔心手術疼痛嗎?
歡迎來沐森諮詢,我們會根據你的狀況,給出客製化療程建議,讓你安心踏出修復第一步!
📍 沐森美學牙醫診所|嘉義縣民雄鄉保生街162號
📞 電話預約:05-2262323
📆 線上預約 / 植牙諮詢:點我填單
💬 加line詢問

