診療項目
全瓷美學貼片是將牙齒磨掉薄薄的一層牙釉質,再新貼上很薄的瓷片(約0.3mm ~ 0.5mm),改變牙齒的顏色與外型,打造微笑曲線。因為瓷片一體成形且黏著力強,磨掉的齒質很少,所以不太有術後敏感的困擾。
沐森美學許毓軒醫師擁有豐富的美學貼片經驗,透過數位化的輔助,搭配專業的牙體技術師,一起打造專屬於你的笑容!
DSD 數位微笑曲線設計
透過DSD 數位微笑設計(Digital Smile Design),我們能在電腦 3D模擬,依照五官、臉型、唇型去做牙齒排列,預先看見治療後的成果。
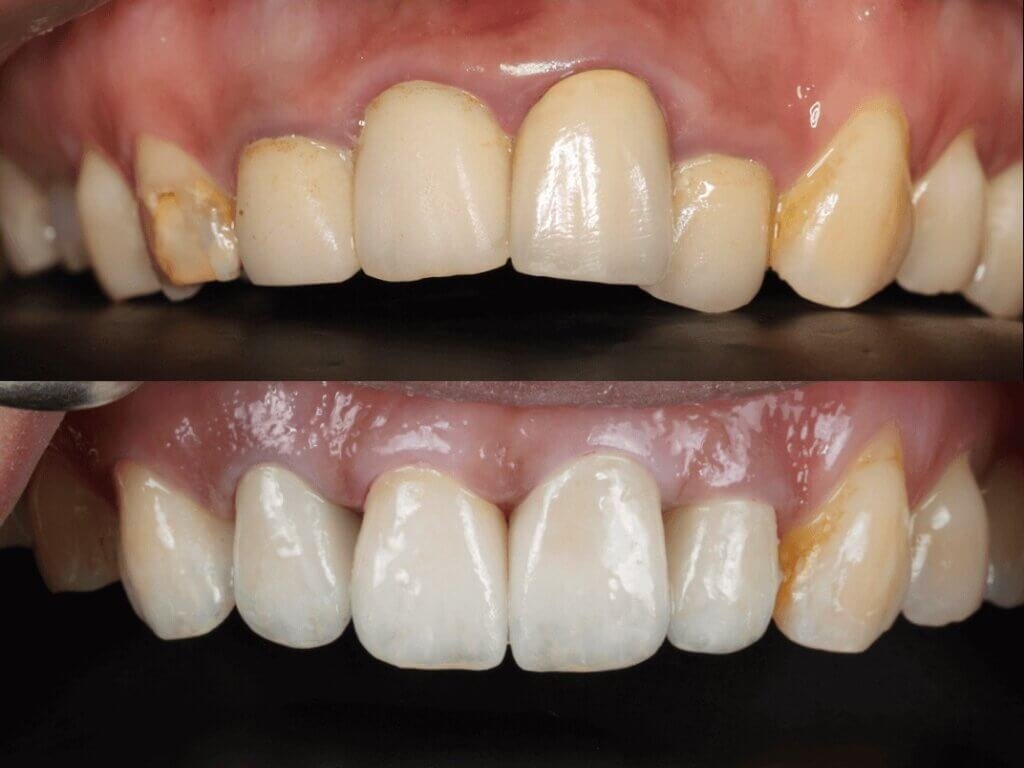
全瓷冠是以全陶瓷材質製成的假牙,一般是以二矽酸鋰作為主要材質,不含任何金屬成份,又稱全瓷牙冠、全瓷冠假牙、陶瓷假牙。
當牙齒因蛀牙做過根管治療或是斷裂造成結構弱,便會建議以「全瓷冠」修復並保護牙齒。
對於牙齒排列滿意,但總覺得笑起來牙齒不夠亮白嗎?快來沐森美學牙醫診所找到自信的微笑吧!
美白方式有分很多種。沒有絕對好的美白方式,只有最適合自己的美白,這邊跟大家介紹美白的幾種方式,但最適合自己的方式,還是要跟醫師諮詢討論呦!
兒童鎮靜麻醉,俗稱舒眠治療,舒眠治療由麻醉醫師全程監控,通過點滴精準給予鎮靜麻醉劑,使孩童在淺層麻醉下接受治療。
由於患者處於睡眠狀態,不記得手術過程,因此可大幅減少心理壓力,並有效完成多項療程,讓害怕看牙的孩子,抑或是害怕帶孩子去看牙的家長減輕焦慮,維護口腔健康!
睡著治療
睡一覺便完成治療
一次解決
降低風險
舒眠鎮靜風險少
不適感低
快速安全
減少孩子失控
治療快速安全
誰適合接受舒眠治療
怕看牙的孩子
對看牙有恐懼的孩童易感到焦慮,舒眠治療可幫助緩解情緒。
需多項治療的幼童
舒眠鎮靜治療能減輕長時間張口的不適,提升治療的效率。
對異物敏感的兒童
對口腔器械有嘔吐反應的小朋友,可通過舒眠療程有效改善。
容易哭鬧的孩童
舒眠鎮靜治療可避免孩童哭鬧,減少治療時產生的危險。
麻醉合作團隊
• 更多舒眠鎮靜麻醉的相關資訊與Q&A,可以至訢辰麻醉團隊官網了解!
專業的麻醉團隊醫師會在術前評估孩子的身體狀況是否適合做舒眠鎮靜治療。
其中,若符合以下4個狀況,並不適合進行舒眠麻醉:
- 對雞蛋、豆類製品過敏者
- 嚴感冒(發燒、有氣喘聲、化膿鼻涕),輕微感冒須經麻醉醫師評估後施
- 體太輕、太重
- 有複雜性的先天性心臟病、氣喘、特殊代謝性疾病、中樞神經疾患等特殊疾病
請注意!即便沒有過敏、心臟病、氣喘或特殊疾病,也要留心術前不要感冒,
以免鼻涕與痰液產生干擾,否則需將治療時程延後。
麻醉醫師會是誰?是這方面專門的醫師嗎?沐森美學合作的是訢辰麻醉鎮靜團隊,訢辰在兒童牙科每個月有將近五十例的兒牙舒眠,另外也支援成人牙科舒眠、整形手術麻醉、無痛腸胃鏡…等需要舒眠鎮靜應用的領域,團隊成員由麻醉專科醫師與專業護理師組成。
當患者因為牙齦發炎或牙周病症狀來做診時,我們會先協助患者全口檢查,進行牙周病治療的初診篩檢,一旦發現有牙周病症狀,需要接受治療時,便會進入完整的牙周病治療程序。
牙周病不僅會危害口腔,更會影響身體其他部位的健康。沐森美學引進來自美國的Biolase二極體雷射,搭配牙周專用局部藥膏、超音波洗牙機及牙周器械,以豐富的經驗,提供患者更有效、更安全、治癒率也更高的牙周病治療方案。
牙周治療後要定期維護
透過牙周病第一階段治療,大部分七成以上輕度到中度的牙周病都能夠獲得一定程度的改善。然而,許多牙周病患者常常是比較視治療期,卻忽略後面的維護及保養其實同等要。
研究發現,牙周致病細菌在每生長三至四個月後會再達到高峰,威到牙周組織,甚至恐危及全身健康。唯有在牙周病治療後養成良好規律定期維護,牙周病才會維持穩定並且延緩惡化。
