嘉義植牙選擇:民雄沐森美學許毓軒醫師|結合即拔即植與牙肉美學,打造自然重生的笑容
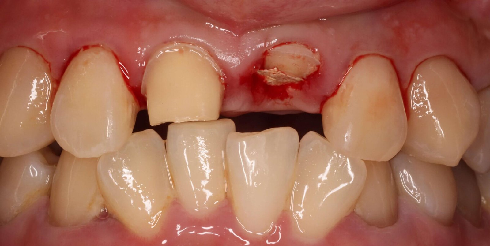
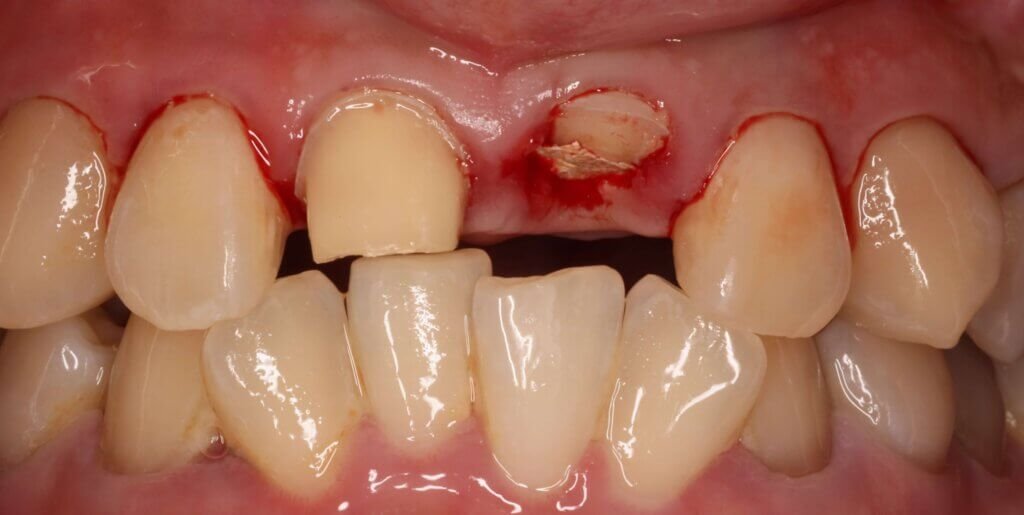
患者 K 先生因車禍導致左側門牙嚴重斷裂,來到沐森美學尋求治療與修復。
在初步評估與影像檢查後,發現患者左側門牙雖然尚未拔除,但周圍骨頭與牙肉條件穩定,符合進行即拔即植的標準。
許毓軒醫師團隊便規劃以微創即拔即植的方式,搭配牙肉美學重建與全瓷冠修復,為患者量身打造自然美觀的治療計畫。
✅ 精準診斷與客製化治療計畫

患者的臨床情況包含以下三大重點:
❶左側門牙尚未拔除
❷周圍牙齦與骨頭結構無明顯破壞
❸拔牙窩底下方有足夠的骨量支撐
這些條件讓他成為適合進行微創即拔即植的理想對象。
相較於傳統拔牙後需等待數月才能植牙,即拔即植大幅縮短治療時間,並可於術後立即安裝臨時假牙,減少美觀上的空窗期,特別適合前牙區患者。
🦷 美學區域的細膩處理:全瓷冠+牙肉設計

以最微創的方式,在拔牙窩洞植入植體

拔牙當天植入植體並給予臨時假牙

利用臨時假牙塑形牙肉

最後做出美觀如自然牙的牙齒
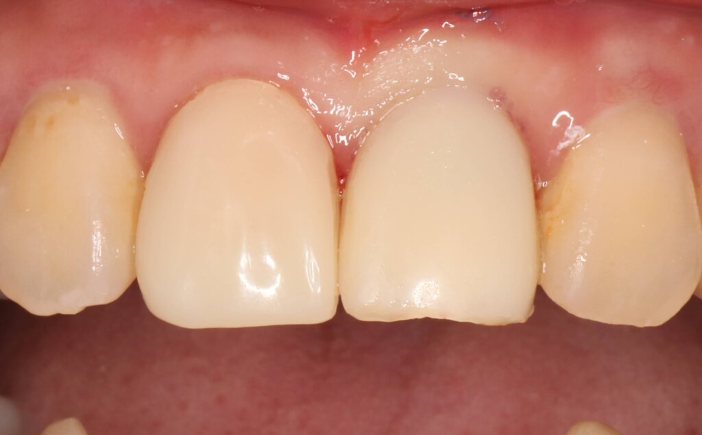
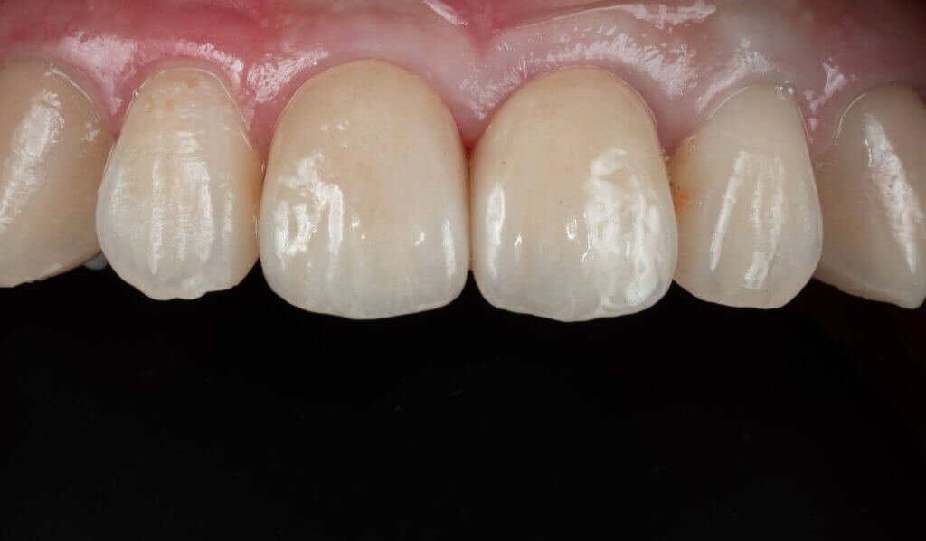
前牙區的植牙不僅要恢復功能,更要極度講究外觀上的「真實感」。因此,許毓軒醫師為患者設計了客製化美學全瓷冠,並以即拔即植植體結合牙肉美學調整的方式處理。
為了讓修復後的門牙在色澤、形狀與牙肉線條上都能自然對稱,醫師使用牙肉塑形與數位導板技術,搭配全瓷冠設計,讓新牙與自然牙完美融合,打造幾乎無法辨識的「假牙」效果。
🔧 微創手術技術,減少術後不適
許醫師採用微創技術進行植牙,將對牙齦與骨頭的損傷降至最低,不僅手術次數少、傷口小、復原快,也大幅降低術後的不適感。透過高精度的3D數位導引與即時影像系統,確保植體角度與深度正確,進一步提升治療的穩定性與長期效果。
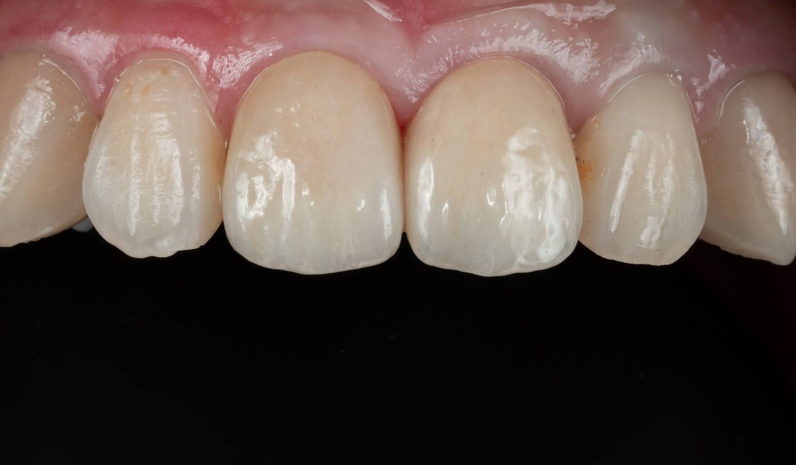
📸 實際成果:自然融合的笑容回歸


從術前術後的對比可以看出,手術後患者門牙的外觀、牙肉弧度與鄰牙融合得自然無違和感,不僅功能恢復,更重拾自信笑容。對於患者而言,這不只是一次植牙手術,更是一次微笑重建的轉捩點。
🏥 沐森美學 × 溫暖專業的植牙團隊
沐森美學牙醫診所秉持「細膩、美學、功能並重」的理念,結合高端設備與經驗豐富的醫師團隊,致力於提供最少侵入性、最貼近真牙的植牙療程。許毓軒醫師擅長處理前牙美學區植牙與困難案例,無論是單顆重建或全口計畫,都能依照每位患者的臉型、牙齒排列與咬合關係,給予客製化的專業建議與治療方案。
想了解自己是否適合即拔即植?歡迎預約沐森美學專業諮詢,讓您重拾健康與笑容!
📍 沐森美學牙醫診所|嘉義縣民雄鄉保生街162號
📞 電話預約:05-2262323
📆 線上預約 / 植牙諮詢:點我填單
💬 加line詢問

