「全瓷冠」等於「漂亮」?小心,不是用了陶瓷就一定漂亮!揭開比價背後的真相:同樣叫全瓷冠,結果卻大不同!

很多患者只比全瓷冠價格,卻忽略了「美感」才是關鍵。同樣是全瓷冠,為什麼有的死白像假牙,有的卻透亮自然?本文由醫師與講師級技師為您解析,決定全瓷冠美學的 3 個細節。別讓價差限制了您的笑容,立即預約諮詢!
嘉義民雄全瓷冠推薦-許毓軒醫師前牙美學案例-全瓷冠重做改善死白
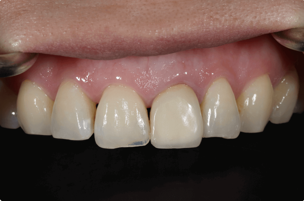
不好看的全瓷冠

「醫師,我明明已經選了全瓷冠,為什麼笑起來還是覺得假假的?」(如上圖)

這是來到診所諮詢的一位患者,她一開口就充滿了無奈。 幾年前,她在別處做了全瓷冠,當時以為只要是「全瓷」材質就一定漂亮。結果做完後,牙齒雖然白,卻白得像兩排口香糖,形狀呆板、沒有層次,甚至讓她變得不敢開懷大笑。

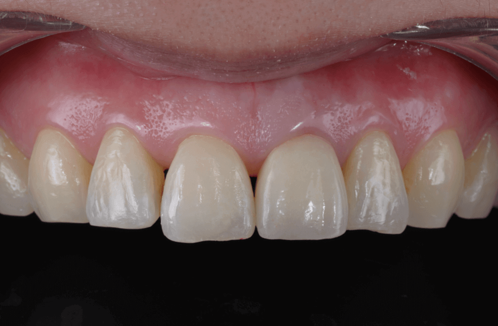
最後,她決定在我們這裡拆掉重做。 她的案例告訴我們一個殘酷的真相:選對材質只是及格門檻,選對醫師與技師,才能拿到滿分的笑容。(如下圖)

全瓷冠自然透感

在診間諮詢時,我常遇到病人問:「醫師,為什麼我在別家問的全瓷冠比較便宜?你們家怎麼比較貴」

這是一個非常好的問題。很多病人以為全瓷冠就像買 iPhone,不管在哪家店買,拿到的東西都是一模一樣的標準品。 但事實是:醫療不是商品,而是「客製化的工藝」。

為了讓大家秒懂,我常打個比方: 全瓷冠的瓷塊材質,就像是一塊頂級的 A5 和牛

  • 交給路邊攤工讀生煎,可能只是一塊普通的熟肉,甚至還會煎焦(密合度不佳)。
  • 交給 米其林星級主廚,他能精準控制火候、鎖住肉汁、擺盤如畫,讓這塊肉成為一場饗宴。

您付出的費用,買的不只是那塊「肉」(材質),更是主廚數十年的「功力」(技術)。

為什麼市面上有「便宜」的全瓷冠?

為了壓低價格,有些做法不得不犧牲細節。低價的全瓷冠往往像是「工廠流水線」的產物:

  1. 死白無層次: 只有單一顏色,遠看像假牙,近看像馬桶磁磚,沒有真牙該有的通透感。
  2. 型態呆板: 只有固定幾種模型,做出來的牙齒方方正正,無法修飾您的臉型。
  3. 密合度堪憂: 邊緣處理不夠精細,容易卡食物殘渣,久了導致牙齦發炎、發黑,甚至二次蛀牙。

我們堅持的「價值」:講師級技師 X 醫師美學

在我們診所,我們不參與低價競爭,因為我們對「美」有近乎苛求的標準。我們深知,一顆好的全瓷冠,必須由醫師技師聯手打造。

1. 牙技師的靈魂工藝:講師等級的堅持

我們合作的牙技師團隊,是業界**「講師等級」**的大師。對他們來說,製作假牙不是生產零件,而是雕琢藝術品。

  • 手工堆瓷(Layering): 大師會模仿真牙的構造,一層層堆疊瓷粉。
  • 擬真紋理: 真牙表面不是光滑的,大師會刻畫出生長紋與細微的凹凸,讓光線折射出自然的光澤。
  • 切端透明感: 為了避免死白,大師會精準控制牙齒邊緣的半透明度,讓牙齒看起來晶瑩剔透,像天生的一樣。

2. 醫師的美學總指揮:微觀與宏觀的平衡

擁有好的技師還不夠,醫師必須是完美的設計師。

  • 從臉型看牙齒: 我們不只看牙齒,更看整張臉。我們會根據您的微笑曲線、唇形走向、臉型比例,去設計牙齒的長寬比與排列。
  • 精準的臨床技術: 牙齒修磨的量多一點、少一點,都會影響最終的立體感與健康。我們堅持在高倍率視野下精準修磨,確保假牙與牙齦完美密合,讓牙齦呈現健康的粉紅色。

為什麼原本就是全瓷冠,還需要重做?

很多來到我們診所尋求「二次美學重建」的患者,口內原本裝的其實都是全瓷冠,材質本身沒有問題。那問題出在哪裡?

往往是因為缺乏了**「擬真的細節」**。

以最近的一位案例來說,患者原本的全瓷冠雖然顏色很白,但因為缺乏**「切端透明感」「表面紋理」**,導致光線打在牙齒上時是一片死白,與旁邊的真牙格格不入。再加上邊緣修磨不夠精細,導致牙齦邊緣紅腫。

在我們與講師級技師重新設計後,透過手工堆瓷調整了通透度,並根據她的臉型微調了齒型比例。當她看到鏡子的那一刻說:「這才是我原本應該有的牙齒。」

結語:別讓價差,限制了您笑容的精緻度

世界上最貴的治療,是「做壞了重做」。

我們常遇到患者因為不滿意之前的全瓷冠成果,最終選擇來我們這裡拆除重做。這意味著他們花了兩次錢、受了兩次苦,才換來理想的笑容。

如果第一次就能堅持品質、找對懂得美學細節的團隊,其實才是真正的省錢。 在沐森美學,我們希望您的笑容是一次到位,而不是將就妥協。

牙齒是要跟著您一輩子的門面。 當您在比價時,請記得:不是全瓷冠就一定漂亮。

漂亮的關鍵,在於醫師對美學的著墨,以及背後那位大師級技師的雙手。 我們寧願花費更多的時間與成本,為您打造一顆**「看不出來是做假牙」**的牙齒,也不願給您一顆雖然便宜、但一眼就被看穿的次級品。

如果您正在尋找高品質的嘉義全瓷冠,歡迎來到沐森美學牙醫診所,您的笑容,值得最好的對待。

📍 地址:嘉義縣民雄鄉 保生街162號
📞 電話:05-2262323
🔗 預約諮詢:[點我預約]

更多精美案例