笑容,是最好的名片 在與人交談的第一眼,目光往往會停留在對方的笑容上。然而,若是門牙顏色不均、形狀不協調,甚至是舊假牙邊緣發黑,往往會讓人下意識地遮掩嘴巴,不敢盡情開懷大笑。
今天的主角,就因為前牙的美觀問題困擾許久,希望能透過全瓷冠療程,重新找回自信的笑容。
術前困擾:為什麼想做全瓷冠?
在來到我們診所諮詢之前,患者主要面臨以下問題:
- 牙齒色澤暗沉/不均: 舊有的牙齒/假牙顏色呈現死白或泛黃,與鄰牙格格不入。
- 牙齦邊緣染色: 由於舊式金屬燒附瓷牙的關係,靠近牙齦處出現了明顯的黑邊(Black Line),讓笑容看起來不夠乾淨。
- 型態比例不佳: 牙齒形狀過於方正或長短不一,缺乏自然牙齒該有的柔和線條。
「我希望做出來的牙齒,不要看起來假假的。」 這是 患者在諮詢時最強烈的訴求。
醫師的專業美學評估與設計
針對前牙美學,我們不只是「把牙齒做白」,更重視**「協調性」與「仿生感」**。
在這個案例中,我們採用了高透光度的**全瓷冠(All-Ceramic Crown)**材質。全瓷冠不含金屬內冠,因此擁有極佳的透光性,能完美模擬真牙的層次感與光澤。
我們的治療重點:
- 微笑曲線設計 (DSD): 根據患者的臉型、唇形與中線,規劃出最適合的牙齒長寬比例。
- 擬真比色: 精細調整全瓷冠的色澤與透明度,使其與周圍真牙完美融合,肉眼幾乎分不出來。
- 牙齦健康導向: 全瓷冠生物相容性高,術後牙齦不易紅腫、過敏,且不會造成牙齦染色變黑。
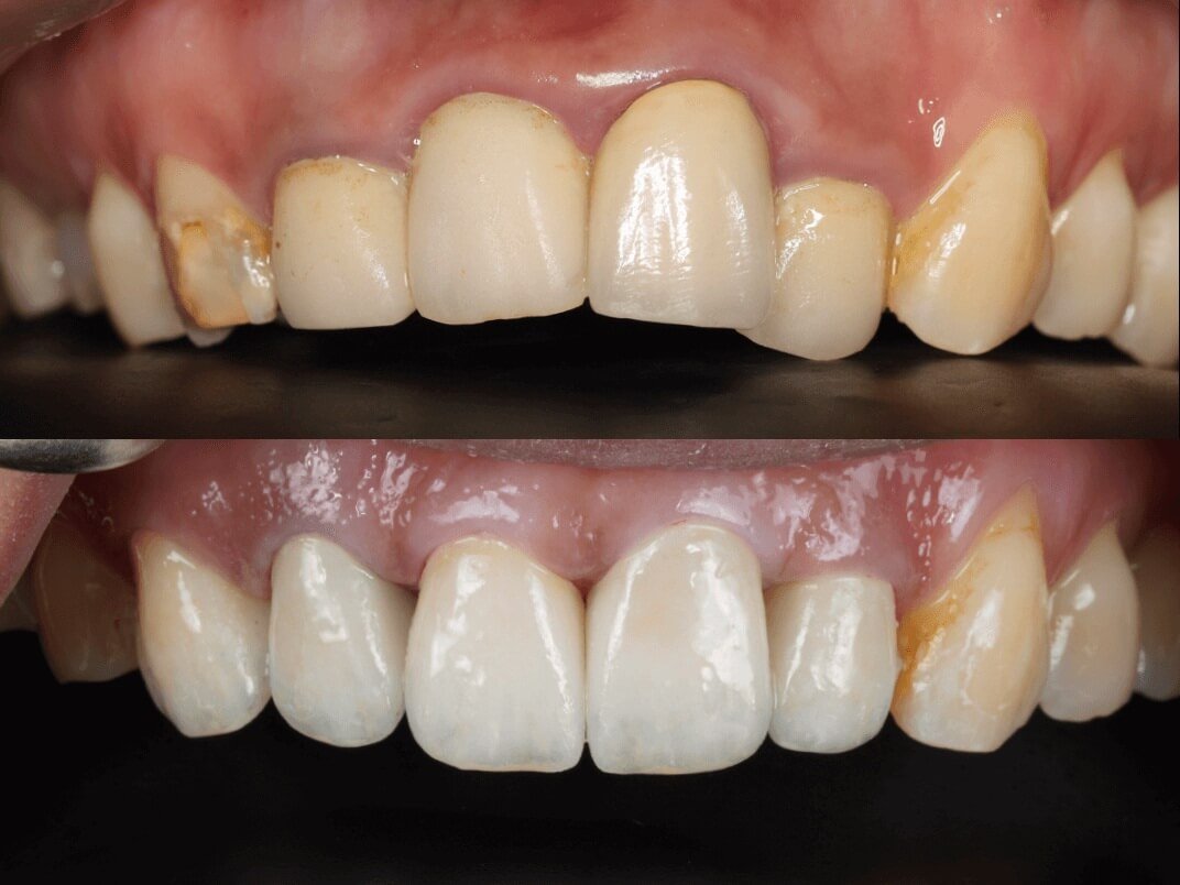
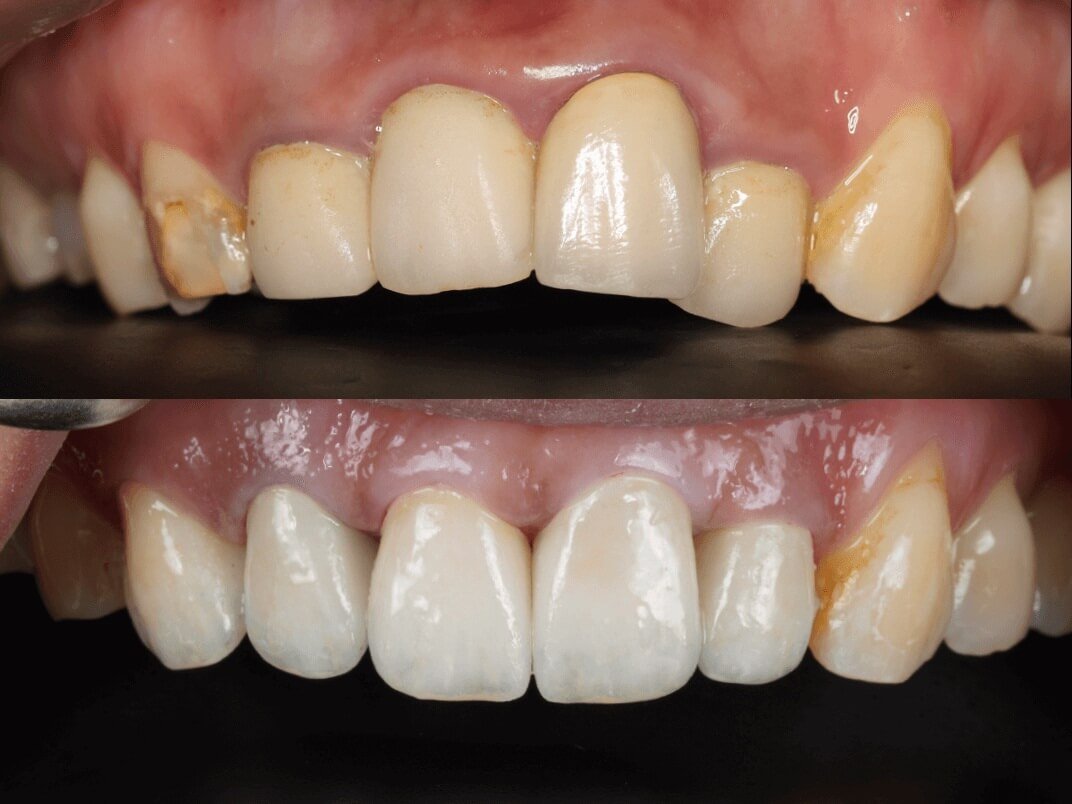
術前術後對比:由內而外的自信轉變
經過精密的修磨、印模與技師的巧手製作,最終成果讓 [患者稱呼] 非常驚喜!

從照片中可以明顯看到幾個改變:
- 剔透光澤: 牙齒不再是死板的白色,而是帶有像珍珠般的溫潤光澤。
- 牙齦粉嫩: 告別了金屬黑邊,牙齦邊緣呈現自然的過渡。
- 微笑曲線: 牙齒排列與嘴唇線條呈現完美的弧度,笑起來更具親和力。
結語:美,值得堅持
前牙全瓷冠不只是一項牙科治療,更是一場精細的微整形。透過醫師對於美學的堅持與專業技術,我們可以讓牙齒「重生」。
看到患者術後對著鏡子露出的滿意笑容,是我們醫療團隊最大的成就感。如果您也有前牙美觀的困擾,歡迎預約諮詢,讓我們為您量身打造專屬的自信微笑。
📍 地址:嘉義縣民雄鄉 保生街162號
📞 電話:05-2262323
🔗 預約諮詢:[點我預約]

